川崎の歯医者ならパール歯科医院 「小島新田駅」徒歩1分

お問い合わせ・ご予約

044-280-3918
WEB予約
メール相談
LINE相談
インプラント相談
矯正相談
医療法人アクアマリン パール歯科院
* *

症例

実際の症例から見る、
パール歯科医院の治療実績

実際に当院で治療を受けられた患者さまの症例を紹介しています。写真や説明を通して、治療の流れや仕上がりをイメージしやすくなっています。
歯科治療を検討中の方は、ぜひ参考になさってください。

インプラント症例

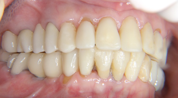
下全顎審美歯科治療・インプラント
治療

BEFORE

*

AFTER

*
施術説明
セラミック補綴治療
デメリット
仮歯が外れやすい
仮の詰め物が取れやすい
インプラント埋入手術後食事がしずらくなる
費用
400,000円~(1本)

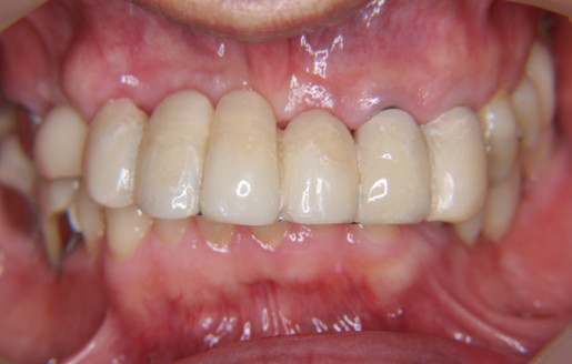
右上第一小臼歯・左下第二大臼歯欠損・インプラント
治療

BEFORE

*

AFTER

*
施術説明
右上第一小臼歯・左下第二大臼歯欠損・インプラント治療
デメリット
仮歯が外れやすい
仮の詰め物が取れやすい
インプラント埋入手術後食事がしずらくなる
費用
400,000円~(1本)

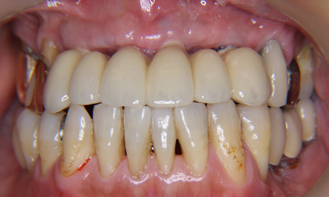
右上犬歯・右上側切歯2本
治療

BEFORE

*

AFTER

*
施術説明
右上犬歯・右上側切歯2本治療・インプラント治療
デメリット
仮歯が外れやすい
仮の詰め物が取れやすい
インプラント埋入手術後食事がしずらくなる
費用

右下第一小臼歯第二小臼歯2本
治療

BEFORE

*

AFTER

*
施術説明
右下第一小臼歯第二小臼歯2本治療・インプラント治療
デメリット
仮歯が外れやすい
仮の詰め物が取れやすい
インプラント埋入手術後食事がしずらくなる
費用

右上犬歯・小臼歯・大臼歯5本 左下大臼歯1本
治療

BEFORE

*

AFTER

*
施術説明
右上犬歯・小臼歯・大臼歯5本 左下大臼歯1本・インプラント治療
デメリット
仮歯が外れやすい
仮の詰め物が取れやすい
インプラント埋入手術後食事がしずらくなる
費用

上顎前歯6本・インプラント
治療

BEFORE

*

AFTER

*
施術説明
上顎前歯6本・インプラント治療
デメリット
仮歯が外れやすい
仮の詰め物が取れやすい
インプラント埋入手術後食事がしずらくなる
費用

右上前歯臼歯4本・左上大臼歯1本・インプラント
治療

BEFORE

*

AFTER

*
施術説明
右上前歯臼歯4本・左上大臼歯1本・インプラント治療
デメリット
仮歯が外れやすい
仮の詰め物が取れやすい
インプラント埋入手術後食事がしずらくなる
費用

右上前歯・臼歯 左下臼歯・インプラント
治療

BEFORE

*

AFTER

*
施術説明
右上前歯・臼歯 左下臼歯・インプラント治療
デメリット
仮歯が外れやすい
仮の詰め物が取れやすい
インプラント埋入手術後食事がしずらくなる
費用

ご予約・ご相談はお気軽に

ご相談をご希望の方は、下記の電話番号までお電話いただき初診のご予約をいただくか、 下記の「無料相談メールフォーム」に相談内容をご記入の上、送信ボタンを押して下さい。 電話やメールではお答えするのが難しい場合には、初診のご予約をお願いする場合があります。 また、初診はすべて保険内での診察となります。
※電話での無料お悩み相談は承っておりません。診療中にお受けしてしまうと、他の患者様にご迷惑をお掛けしてしまいますので、ご理解の程お願い申し上げます。

044-280-3918

*

WEB予約

*

メール相談

*

LINE相談

*

インプラント相談

*

矯正相談

電話でご予約・お問合せ 044-280-3918
WEB予約
LINE相談
インプラント相談
矯正相談