川崎の歯医者ならパール歯科医院 「小島新田駅」徒歩1分

お問い合わせ・ご予約

044-280-3918
WEB予約
メール相談
LINE相談
インプラント相談
矯正相談
医療法人アクアマリン パール歯科院
* *

症例

実際の症例から見る、
パール歯科医院の治療実績

実際に当院で治療を受けられた患者さまの症例を紹介しています。写真や説明を通して、治療の流れや仕上がりをイメージしやすくなっています。
歯科治療を検討中の方は、ぜひ参考になさってください。

インビザライン症例

アライナー矯正(インビザライン)

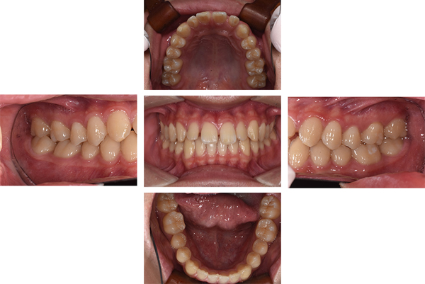
BEFORE

*

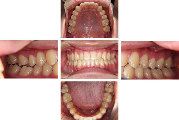
AFTER

*
施術説明
前歯部の出っ歯・すきっ歯が気になるとの事で矯正治療を実施。およそ1年間で歯並びの改善が見られた。
デメリット
後戻りのリスクがあるのでしばらく保定装置が必要
費用
700,000円

ご予約・ご相談はお気軽に

ご相談をご希望の方は、下記の電話番号までお電話いただき初診のご予約をいただくか、 下記の「無料相談メールフォーム」に相談内容をご記入の上、送信ボタンを押して下さい。 電話やメールではお答えするのが難しい場合には、初診のご予約をお願いする場合があります。 また、初診はすべて保険内での診察となります。
※電話での無料お悩み相談は承っておりません。診療中にお受けしてしまうと、他の患者様にご迷惑をお掛けしてしまいますので、ご理解の程お願い申し上げます。

044-280-3918

*

WEB予約

*

メール相談

*

LINE相談

*

インプラント相談

*

矯正相談

電話でご予約・お問合せ 044-280-3918
WEB予約
LINE相談
インプラント相談
矯正相談